
Aborto de Repetição e as Imuno-terapias , quais são as evidencias cientificas ?
O aborto de repetição e considerado toda perda gestacional inicial que ocorre por mais de 3 vezes consecutivas ( abordaremos

O aborto de repetição e considerado toda perda gestacional inicial que ocorre por mais de 3 vezes consecutivas ( abordaremos

O que é ? A IIU (inseminação intrauterina) consiste na deposição de espermatozoides, do parceiro ou doador, no interior da

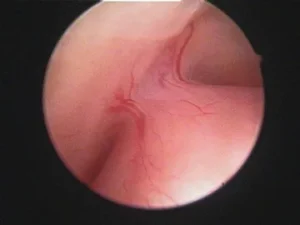
O pólipo uterino, também conhecido como pólipo endometrial, consiste no crescimento excessivo de células na parede interna do útero, formando bolinhas semelhantes a cistos que se estendem para o interior do útero.